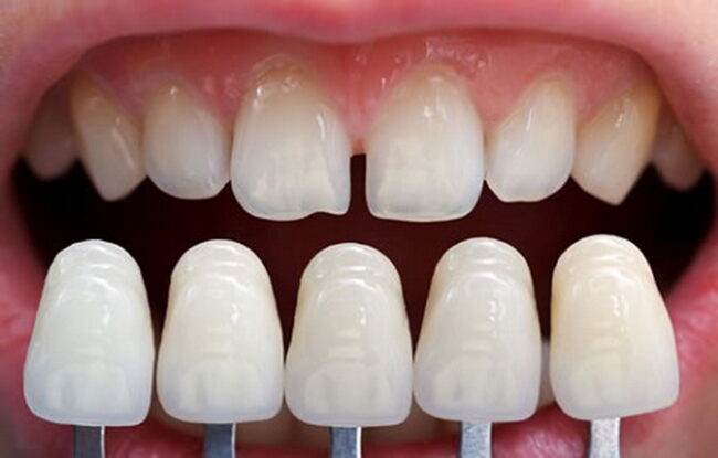
الاختلاف بين فينير الأسنان التقليدي و الفينير بدون تحضير
لم يعد تجميل الأسنان مرتبطًا بالحلول المؤلمة أو التدخلات الكبيرة كما كان في السابق، بل أصبح يعتمد على أساليب أكثر دقة تحافظ على بنية السن الطبيعية و مع هذا التطور بدأ كثير من الناس يتساءلون هل نحتاج فعلًا إلى نحت الأسنان للحصول على ابتسامة جميلة؟ هذا السؤال أصبح مطروحًا بقوة مع انتشار تقنيات تجميلية حديثة…










