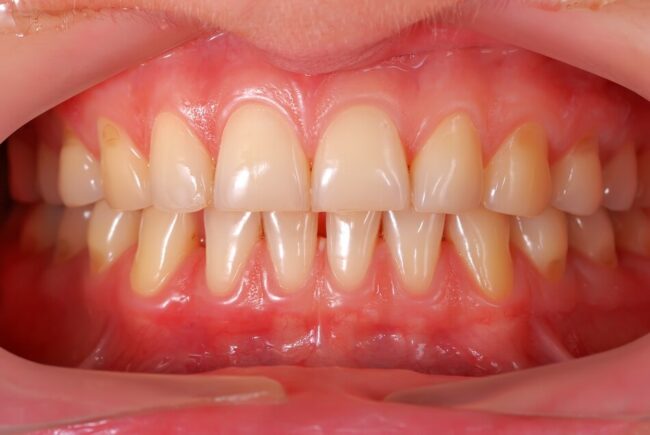
ترقيع اللثة
تُعتبر صحة اللثة عنصرا أساسيا في الحفاظ على صحة الفم و الأسنان فهي تساهم في حماية جذور الأسنان و منع فقدان الأسنان، كما تلعب دورا هاما في الوقاية من الأمراض الفموية. في ظل انتشار مشاكل انحسار اللثة أصبح ترقيع اللثة إجراء جراحيا شائعا يستخدم لاستعادة كمية اللثة المفقودة و تحسين مظهر الفم. في هذا المقال سنتعرف…











