اللثة الحساسة هي واحدة من أكثر المشاكل الشائعة التي تؤثر على صحة الفم و الأسنان، يعاني الأشخاص الذين يعانون من حساسية اللثة بالألم و عدم الراحة أثناء تناول الطعام أو حتى عند تنظيف أسنانهم حيث يتطلب علاج اللثة الحساسة التشخيص الدقيق و العلاج المناسب، و يعد مركز وندرز لعلاج الأسنان بقيادة د. أحمد سعيد من أفضل المراكز التي تقدم حلولا متخصصة و فعّالة لهذه الحالة.
في هذا المقال، سنتناول كل ما تحتاج لمعرفته حول اللثة الحساسة، بما في ذلك أسبابها، أعراضها، و كيفية علاجها.
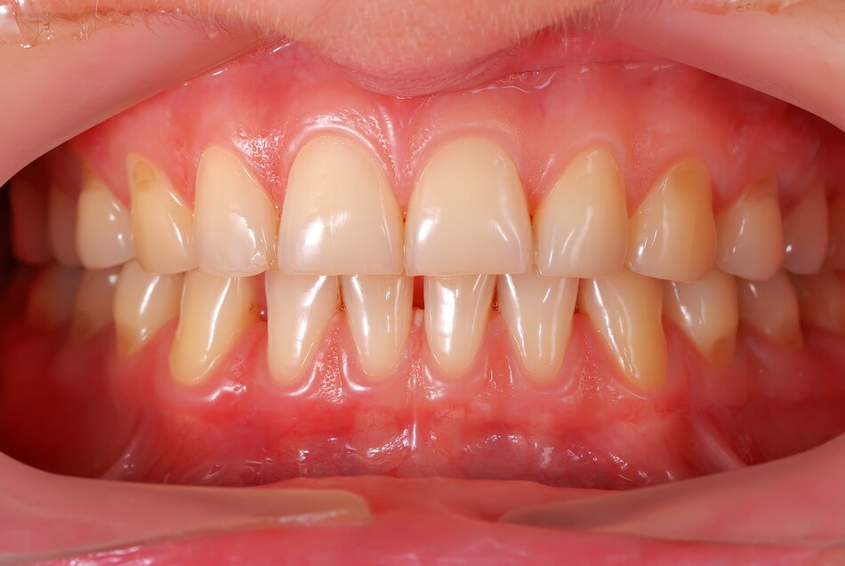
ما هي اللثة الحساسة؟
اللثة الحساسة تشير إلى الحالة التي تصبح فيها اللثة متهيجة و مؤلمة عند التعرض لمؤثرات خارجية مثل الحرارة أو البرودة أو الضغط. في الحالات الأكثر شيوعا يعاني الأفراد من إحساس بالألم عند تنظيف الأسنان بالفرشاة أو خيط الاسنان أو عند تناول أطعمة ساخنة أو باردة. يمكن أن تكون هذه الحالة إشارة على وجود مشكلة أساسية مثل التهاب اللثة أو تراجع اللثة.
أعراض اللثة الحساسة
تشمل أعراض اللثة الحساسة مجموعة من العلامات الواضحة التي يجب الانتباه إليها مثل:
- الألم: ألم خفيف إلى متوسط يظهر عند تناول الأطعمة أو المشروبات الساخنة أو الباردة.
- التورم: تورم في اللثة يكون عادة مصحوبا باحمرار في المنطقة.
- نزيف اللثة: نزيف بسيط عند تنظيف الأسنان بالفرشاة أو الخيط.
- رائحة الفم الكريهة: نتيجة تراكم البكتيريا في الفم يمكن أن يؤدي ذلك الى وجود رائحة كريهة في الفم.
- انحسار اللثة: حيث تتراجع اللثة تدريجيا عن الأسنان مما يعرض الجذور للتحسس و الألم.
- حساسية الأسنان: قد يحدث تآكل مينا الأسنان بسبب التهابات اللثة مما يؤدي إلى زيادة حساسية الأسنان نفسها.
أسباب تحسس اللثة
العديد من العوامل قد تساهم في تطوير حساسية اللثة:
التهاب اللثة:
أحد الأسباب الأكثر شيوعا لحساسية اللثة هو التهاب اللثة و أسباب التهاب اللثة يكون نتيجة تراكم البلاك و هو طبقة رقيقة من البكتيريا التي تتراكم على الأسنان و اللثة بسبب عدم العناية الجيدة بالنظافة الفموية.
إذا لم يتم علاج البلاك بشكل صحيح، يمكن أن يؤدي إلى تهيج اللثة و التهابها.
التغيرات الهرمونية:
تؤثر التغيرات الهرمونية مثل تلك التي تحدث أثناء الحمل أو البلوغ أو الطمث، على الإصابة بالالتهاب و حساسية اللثة.
في هذه الحالات تصبح اللثة أكثر عرضة للالتهابات بسبب زيادة تدفق الدم إلى الأنسجة اللثوية.
تنظيف الأسنان بالفرشاة بطريقة خاطئة:
استخدام فرشاة أسنان خشنة أو تنظيف الأسنان بقوة يمكن أن يؤدي إلى تآكل أنسجة اللثة و تفاقم الحساسية.
هذا النوع من الاستخدام القاسي للفرشاة قد يؤدي إلى تراجع اللثة و الكشف عن جذور الأسنان.
التدخين:
التدخين يعتبر أحد العوامل المساعدة في مشاكل اللثة، بما في ذلك الحساسية.
النيكوتين الموجود في السجائر يضعف قدرة الجسم على الشفاء و يزيد من خطر الإصابة بأمراض اللثة.
النظام الغذائي:
الأطعمة الحمضية أو السكرية قد تزيد من حساسية اللثة حيث يمكن أن تهيج هذه الأطعمة الأنسجة اللثوية و تؤدي إلى تفاقم الالتهابات.
جفاف الفم:
جفاف الفم هو حالة تؤثرعلى إنتاج اللعاب و هو ما قد يؤدي إلى تراكم البكتيريا و يجعل اللثة أكثرعرضة للتحسس.
بعض الأدوية او الحالات المرضية مثل التعرض للاشعاع في منطقة الوجه و الفكين الى تقليل مستوى افراز اللعاب الذي قد يسبب جفاف الفم و تزيد من احتمالية التحسس.
مضاعفات عدم علاج اللثة الحساسة
عدم علاج اللثة الحساسة يمكن أن يؤدي إلى مضاعفات خطيرة تؤثرعلى صحة الفم بأكمله، و من أبرزها:
1. التهاب دواعم الأسنان:
إذا تُركت اللثة الحساسة دون علاج يمكن أن تتطور إلى التهاب دواعم الأسنان و هي حالة خطيرة تؤثرعلى العظام و الأنسجة الداعمة للأسنان هذا النوع من الالتهاب يمكن أن يؤدي في النهاية إلى فقدان الأسنان.
2. تراجع اللثة:
الحساسية المستمرة يمكن أن تؤدي إلى تراجع اللثة مما يجعل جذور الأسنان مكشوفة و أكثر عرضة للتحسس و الألم. هذا التراجع قد يتطلب تدخلات جراحية لعلاج المشكلة.
3. زيادة خطر الإصابة بأمراض مزمنة:
أظهرت الدراسات أن أمراض اللثة المزمنة ترتبط بزيادة خطر الإصابة بأمراض مثل أمراض القلب و السكري. إهمال علاج اللثة الحساسة قد يضع الشخص في مشاكل أكثر خطورة من التهاب اللثة.
خطوات علاج اللثة الحساسة
في مركز وندرز لعلاج الأسنان تحت إشراف الدكتور أحمد سعيد، يتم اتباع خطة علاجية شاملة تعتمد على تقييم دقيق لحالة المريض. تشمل خطوات علاج اللثة الحساسة:
التشخيص و الفحص الشامل:
أول خطوة للعلاج هي إجراء فحص شامل لتحديد السبب الأساسي للحساسية. قد يطلب الطبيب إجراء صور أشعة للتأكد من صحة العظام و الأنسجة المحيطة بالأسنان.
تنظيف الأسنان العميق:
إذا كانت الحساسية ناتجة عن تراكم البلاك أو الجير، سيقوم الفريق الطبي بتنظيف الأسنان بشكل عميق لإزالة التراكمات الضارة، يمكن استخدام تقنيات تنظيف الأسنان بالموجات فوق الصوتية لإزالة الجير العالق تحت اللثة.
استخدام غسول الفم:
قد يوصي طبيب الأسنان باستخدام غسول الفم المضاد للبكتيريا للتقليل من البكتيريا المسببة للالتهاب و تهدئة اللثة الملتهبة.
العلاجات الموضعية:
في الحالات الأكثر شدة، قد يتم استخدام مراهم أو جيل موضعي يحتوي على مواد مهدئة لتخفيف الألم و تقليل التورم.
الجراحة في الحالات المتقدمة:
في الحالات التي تتطلب تدخلا جراحيا، يمكنك أن تقوم بعمل جراحة ترميم اللثة لإصلاح الأنسجة المتضررة و استعادة صحة اللثة.
نصائح لوقاية اللثة بعد العلاج
بعد علاج اللثة الحساسة في مركز وندرز لعلاج الاسنان، يقدم الدكتور أحمد سعيد نصائح هامة للحفاظ على صحة اللثة و تجنب تكرار المشكلة. من بين هذه النصائح:
الحفاظ على نظافة الفم:
تنظيف الأسنان مرتين يوميا باستخدام فرشاة اسنان ناعمة و معجون أسنان مخصص للثة الحساسة يساعد في منع تراكم البكتيريا و يقلل من خطر الالتهابات.
استخدام الخيط بانتظام:
استخدام خيط الاسنان لتنظيف ما بين الأسنان يساعد في إزالة البلاك الذي قد يؤدي إلى التهابات اللثة.
تجنب الأطعمة الحمضية:
تجنب تناول الأطعمة الحمضية أو السكرية بكميات كبيرة لتجنب تهيج اللثة.
الإقلاع عن التدخين:
التوقف عن التدخين يساعد بشكل كبير في تحسين صحة الفم و اللثة.
زيارة طبيب الأسنان بانتظام:
الفحص الدوري للأسنان و اللثة كل 6 أشهر يساهم في الكشف المبكر عن أي مشاكل و تجنب تفاقمها، زيارتك لطبيب الأسنان خطوة مهمة للحفاظ على صجة فمك و ليس علاجها فقط.
زيارة مركز وندرز لعلاج الأسنان
عند زيارتك لمركز وندرز لعلاج الأسنان تحت رعاية الدكتور أحمد سعيد، يمكنك أن تتوقع الحصول على أفضل رعاية، ستجد فريقا متخصصا يقدم علاج صحي و متخصص لأسنانك و لثتك.
عند زيارتك الأولى، سيتم إجراء فحص شامل لفمك و لثتك لتحديد الأسباب المحتملة لحساسية اللثة و وضع خطة علاج مخصصة تناسب حالتك.
من خلال استخدام أحدث التقنيات الطبية المتاحة، يتم تقديم العلاج المناسب بكفاءة و احترافية، مع التركيز على تقديم تجربة مريحة و فعالة للمريض.
اللثة الحساسة ليست حالة يجب تجاهلها، فهي قد تكون مقدمة لمشاكل أكبر إذا لم يتم التعامل معها بسرعة. من المهم أن تستشير طبيب الأسنان فور ملاحظة أي من الأعراض، سواء كان الألم أو التورم أو النزيف.
الدكتور أحمد سعيد و فريقه في مركز وندرز لديهم الخبرة و المهارات اللازمة لتقديم الرعاية المثلى، سواء كنت تحتاج إلى علاج اللثة أو زراعة الأسنان أو تقويم الأسنان.
الأسئلة الشائعة
هل يمكن أن تكون حساسية اللثة مؤشراً لشيء آخر غير إهمال التنظيف؟
نعم، رغم أن تراكم البلاك هو السبب الرئيسي، إلا أن اللثة الحساسة قد تنتج عن تغيرات هرمونية (خاصة أثناء الحمل أو انقطاع الطمث)، أو نقص في الفيتامينات (مثل فيتامين C أو D). في مركز وندرز، نقوم بإجراء “تقييم لثوي شامل” لنحدد ما إذا كانت الحساسية موضعية أم مرتبطة بحالتك الصحية العامة.
لماذا أشعر بألم في لثتي رغم أنني أستخدم الفرشاة و الخيط يومياً؟
قد تكون تعاني مما يسمى “التنظيف الصدمي”. استخدام فرشاة خشنة أو الضغط الزائد أثناء التنظيف يؤدي إلى تراجع اللثة و انكشاف جذور الأسنان الحساسة. ننصح دائماً باستخدام فرشاة “ناعمة جداً” و اتباع حركات دائرية لطيفة لتنظيف خط اللثة دون التسبب في جروح ميكانيكية للأنسجة.
هل يوجد علاج احترافي نهائي لحساسية اللثة؟
إذا كانت الحساسية ناتجة عن التهاب اللثة الأولي، فإن التنظيف العميق (Scaling) يمكنه عكس الالتهاب بشكل نهائي. أما إذا كانت ناتجة عن تراجع اللثة، فنحن نوفر تقنيات تحفيز اللثة بالليزر أو الزراعة المجهرية للأنسجة لتغطية المناطق المكشوفة، مما يوفر راحة فورية و دائمة من الألم.
كيف يؤثر النظام الغذائي على تهيج و حساسية اللثة؟
الاستهلاك المستمر للمشروبات الحمضية و السكريات يخلق بيئة خصبة للبكتيريا الضارة، مما يؤدي إلى التهاب مزمن وبسيط. التحول إلى نظام غذائي قلوى و الحرص على شرب الماء يساعد في الحفاظ على تدفق اللعاب الصحي، الذي يعمل كمنظم طبيعي للأحماض التي تهيج أنسجة اللثة الحساسة.







